Equine Head CT & MRI
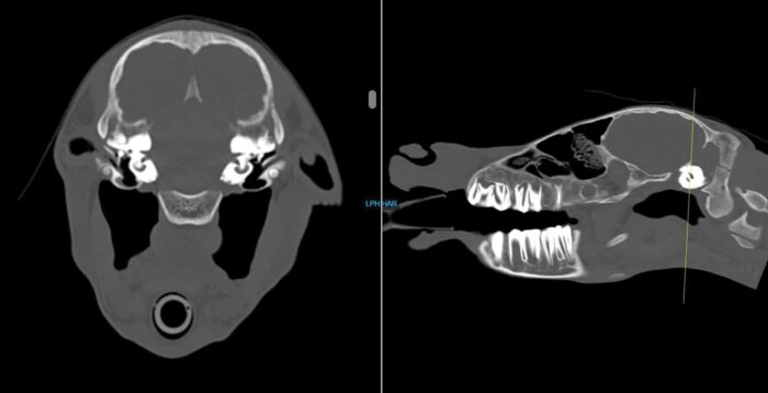
Nova, an 8-day old Quarter Horse filly, presented to Animal Imaging following a 2-day history of right sided head tilt with no known evidence of trauma. She was worked up by a boarded internal medicine specialist who found no significant abnormalities on physical examination, bloodwork, and initial radiographic findings.

